Research conducted by a team from Shandong Agricultural University and Nanjing Agricultural University, in collaboration with the Zhongshan Biological Breeding Laboratory, has unveiled critical insights into the genetic variations of pears, a fruit tree with a long history of domestication. The study, published in the journal Horticulture Research in May 2025, analyzed over 9 million SNPs across 232 pear accessions, revealing patterns of genetic mutations that could significantly influence future breeding practices.
Understanding genetic variations, particularly deleterious mutations, is essential for improving the breeding and selection processes of pears. This research sheds light on how these genetic alterations have evolved in response to diverse climatic conditions. Unlike annual crops, the genetic patterns in perennial fruit trees like pears remain less understood.
The analysis conducted by the research team identified a total of 9,909,773 SNPs, with 139,335 classified as deleterious mutations. Notably, these mutations were found to be concentrated in coding regions. The study found a higher frequency of deleterious mutations in Pyrus communis, the European pear, compared to other species.
Key Findings on Domestication and Genetic Mutations
One of the significant revelations of the study was how domestication affected the distribution of these mutations. The research highlighted selective sweep regions where domestication led to a reduction of deleterious mutations in Pyrus pyrifolia and Pyrus bretschneideri. Conversely, in Pyrus communis, there was an increase in deleterious mutations, likely caused by genetic drift during the domestication process.
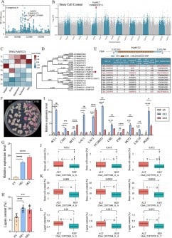
Moreover, the study pinpointed the PyMYC2 gene as a critical factor associated with stone cell formation in pears. Overexpression of this gene in pear callus cultures resulted in increased lignin and stone cell content, emphasizing its potential in breeding efforts focused on enhancing pear texture.
Professor Jun Wu from Nanjing Agricultural University stated, “This research provides valuable genomic insights into pear domestication, particularly in understanding how deleterious mutations shape agronomic traits.” He emphasized the importance of identifying PyMYC2 as a regulator of stone cell content, noting its potential to influence future breeding strategies.
Implications for Future Pear Breeding
The discovery of deleterious mutations and their correlation with important agronomic traits in pears presents significant implications for breeding programs. By targeting genes such as PyMYC2, breeders can develop new pear varieties with improved characteristics, including enhanced texture and disease resistance.
The findings suggest that modern molecular breeding techniques, such as genome-wide selection, could help mitigate the accumulation of harmful mutations in cultivated varieties. This approach may lead to healthier and more productive pear crops, addressing the increasing global demand for high-quality pears while also enhancing crop resilience in the face of climate change.
The research was supported by multiple organizations, including the National Science Foundation of China and the National Key Research and Development Program of China. As the study continues to unfold, it not only enhances our understanding of pear genetics but also lays the groundwork for developing superior pear varieties that can adapt to changing environmental conditions.
The full study can be accessed through the DOI: 10.1093/hr/uhaf140.
